Опыт лечения гастроэзофагеальной рефлюксной болезни. Этиология: новый подход
- Опыт лечения гастроэзофагеальной рефлюксной болезни. Этиология: новый подход
- Как лечить гэрб навсегда народными средствами. Евгения Савичева, проктолог, онколог. Редактор А. Герасимова
- Я вылечил гэрб. Определение болезни. Причины заболевания
- Как выглядит язык при гэрб. Стоматологические проявления гастроэзофагеальной рефлюксной болезни
- Я вылечила рефлюкс-эзофагит форум. Что такое рефлюкс-эзофагит
- Рефлюкс-эзофагит на нервной почве. Проявления заболевания
Опыт лечения гастроэзофагеальной рефлюксной болезни. Этиология: новый подход
Согласно преобладающей теории (с 1935 г.), ГЭРБ возникает, когда кислый желудочный сок выливается из желудка в пищевод, химически и механически повреждая слизистую оболочку пищевода, вызывая ее ожоги, раздражение, эрозии и, в конечном итоге, более серьезные последствия. Однако эта традиционная теория химического и механического раздражения слизистой оболочки пищевода не может полностью объяснить многие вещи, связанные с началом, симптомами и течением ГЭРБ.
В настоящее время появились сообщения о том, что ГЭРБ может быть иммунным воспалительным заболеванием, вызванным иммунными реакциями, а не прямым химическим повреждением слизистой оболочки пищевода желудочным соком. Гипотеза об этиологии иммунной ГЭРБ подтверждается одним из клинических исследований, проведенных в США. Результаты исследования были опубликованы в журнале American Medical Ассоциация.
Предварительные данные этого исследования показали, что Т-лимфоцитарный эзофагит, гиперплазия базальных клеток и клеток селезенки наблюдались у пациентов с тяжелой ГЭРБ, эффективно лечившихся ингибиторами протонной помпы (ИПП) после отмены ИПП, но с устойчивыми поверхностными клетками.
По словам руководителя исследования из Далласского медицинского центра ветеранов д-ра. Керри Данбар, это открытие предполагает, что патогенез рефлюксной болезни может быть связан больше с медиаторами воспаления и цитокинами, чем с химическим повреждением слизистой оболочки пищевода.
Воспалительная иммунная теория ГРЭБ могла бы легче и лучше объяснить не только начало и течение типичных симптомов этого заболевания, но и патофизиологию осложнений этойпатологии — метаплазию пищевода и слизистой оболочки Барретта.

Пищевод Барретта
Недавние экспериментальные исследования на крысах также предполагают, что ГЭРБ более связана с иммунным, а не химическим кислотным поражением слизистой оболочки пищевода. Считается, что рефлюкс и химическое кислотное раздражение только инициируют иммунные воспалительные реакции в слизистой оболочке пищевода и, следовательно, играют менее важную роль.
Если иммуно-воспалительная теория этиопатогенеза ГЭРБ окажется верной, возможно, потребуется пересмотреть существующий режим лечения и профилактики рецидивов ГЭРБ. Не исключено, что расположение и роль антисекреторных препаратов (ИПП, блокаторы H2) могут измениться.
Предполагается, что иммунная теория рефлюксной болезни может более подробно объяснить причины и сущность не только типичных, но и недавно описанных атипичных форм (так называемых подтипов) ГЭРБ.
Исследователи предполагают, что ИПП и блокаторы H2 могут оставаться наиболее важными препаратами для лечения ГЭРБ, но схема лечения этого заболевания также должна включать препараты, влияющие на каскад иммунно-воспалительного ответа, особенно для более тяжелых и рефрактерных форм ГЭРБ.
Как лечить гэрб навсегда народными средствами. Евгения Савичева, проктолог, онколог. Редактор А. Герасимова
- Reading time: 6 минут чтения
Изменение образа жизни и питания при гастроэзофагеальной рефлюксной болезни.
Изменения в образе жизни и диете помогают уменьшить симптомы гастроэзофагеальной рефлюксной болезни (ГЭРБ). Следует, однако, отметить, что в случае рефлюксной болезни немедикаментозная терапия может принести желаемые результаты, только когда симптомы заболевания не сопровождаются рефлюкс-эзофагитом.
В случае эзофагита и тяжелых симптомов необходимо использовать соответствующие лекарства, а диета в этом случае будет являться фактором, поддерживающим фармакотерапию.
Важные рекомендации
Изменения образа жизни, рекомендуемые при рефлюксной болезни, касаются:
- нормализации массы тела;
- объема приемов пищи и скорости ее потребления;
- отказа от сигарет;
- положения тела во время сна и отдыха;
- физической активности.
Масса тела
Людям с ожирением или избыточным весом рекомендуется снизить массу тела , поскольку избыточный вес связан с повышением внутрибрюшного давления, что усугубляет заболевание. Многочисленные исследования подтвердили, что избыточный вес / ожирение является фактором риска развития гастроэзофагеальной рефлюксной болезни и эрозивного эзофагита.

Отказ от курения
Объем приемов пищи и скорость ее потребления
Также важны объем потребляемой пищи и скорость еды. Употребление обильной пищи способствует более частым эпизодам рефлюкса, и, если эта еда характеризуется высокой осмолярностью, сила рефлюкса также увеличивается. Поэтому пациентам рекомендуется есть 5–6 раз в день, ограничиваясь небольшими порциями.
Есть следует в спокойной обстановке, в медленном темпе. Быстрое питание заставляет людей заглатывать больше воздуха во время еды, что повышает внутрибрюшное давление и способствует более частому рефлюксу.
Курение
Курение сигарет, препятствуя очищению пищевода и уменьшая напряжение в нижнем сфинктере пищевода, увеличивает количество эпизодов рефлюкса. Поэтому людям с симптомами гастроэзофагеальной рефлюксной болезни рекомендуется бросить курить.

Отказ от курения
Положение тела во время сна и отдыха
Симптомы заболевания можно уменьшить, приняв правильную позу во время сна и отдыха.
Рекомендуется не ложиться сразу после еды. Поднятие изголовья кровати на 15-20 см помогает более эффективно очищать пищевод во время сна, что уменьшает симптомы заболевания. Такая процедура приносит желаемые результаты, особенно у людей с грыжей пищеводного отверстия диафрагмы.
Физическая активность
Симптомы гастроэзофагеальной рефлюксной болезни ухудшаются после интенсивных физических нагрузок, частых или продолжительных наклонов или любых физических нагрузок, выполняемых сразу после еды, поэтому рекомендуется избегать интенсивных физических нагрузок, а также физических нагрузок после еды.
Однако было показано, что умеренная физическая активность , например, прогулка на велосипеде, плавание, ходьба, снижают риск рефлюксной болезни. Предположительно, это связано с улучшением и укреплением мышц диафрагмы и поддержанием правильного энергетического баланса, способствующего здоровой массе тела.

Умеренная физическая активность
Диета
Соблюдение правильной диеты – не менее важный элемент немедикаментозной терапии. Людям с симптомами рефлюкса следует избегать:
- жирных, жареных и трудноусвояемых продуктов;
- острых, и луковых овощей, помидоров и томатных продуктов;
- цитрусовых и соков из этих фруктов;
- шоколада и шоколадных продуктов;
- кофе, настоя мяты, газированных напитков, алкоголя.
Перечень продуктов, влияющих на механизмы развития заболевания, также вызывающих его симптомы, представлен в Таблице 1. В Таблице 2 перечислены разрешенные продукты / блюда.
Некоторые люди находят облегчение от изжоги, выпивая обезжиренное молоко или негазированную минеральную воду – эти жидкости очищают пищевод, вымывая кислоту из желудка, попавшую в пищевод, и нейтрализуют ее, оказывая ощелачивающее действие.

Негазированная минеральная вода
Таблица 1. Факторы, вызывающие симптомы заболевания
| Факторы болезни | Примеры продуктов |
| Снижение давления в нижнем сфинктере пищевода | шоколад, настой мяты, кофе, крепкий чай, алкоголь |
| Индукция преходящего спонтанного расслабления нижнего сфинктера пищевода | жиры, лук, овощи, спаржа, артишоки |
| Задержка опорожнения желудка | |
Таблица 2. Разрешенные и не рекомендуемые продукты для людей с гастроэзофагеальной рефлюксной болезнью
Следует подчеркнуть, что реакция организма на определенные продукты – это индивидуальная особенность. Пациентам следует ограничить потребление не рекомендованных продуктов, но это не значит, что их вообще нельзя есть.
Я вылечил гэрб. Определение болезни. Причины заболевания
Гастроэзофагеальная рефлюксная болезнь ( ГЭРБ ; gastroesophageal reflux disease ) — это хроническое заболевание, при котором содержимое желудка и/или двенадцатиперстной кишки регулярно забрасывается в пищевод. Такое нарушение сопровождается изжогой, отрыжкой и дискомфортом за грудиной.
Такие забросы повреждают слизистую оболочку нижнего отдела пищевода и приводят к эзофагиту (воспалению пищевода), а у части больных развивается пищевода Барретта (эпителий пищевода превращается в кишечный эпителий) .
Причины и факторы развития ГЭРБ
Причиной ГЭРБ является нарушение работы желудка и снижение тонуса кардиального сфинктера. Он находится между пищеводом и желудком и в норме препятствует обратному ходу содержимого в пищевод.
Факторы, способствующие развитию ГЭРБ :
- избыточный вес;
- курение ;
- злоупотребление алкоголем;
- вынужденное наклонное положение тела, часто связанное с профессией, встречается у автомехаников, сварщиков, сборщиков ягод, сортировщиков, специалистов по уборке, дорожных рабочих, врачей, например хирургов и стоматологов, и др.;
- беременность;
- приём некоторых лекарств, понижающих тонус кардиального сфинктера, например блокаторов медленных кальциевых каналов, бета-адреноблокаторов, аминофиллина , антихолинергических препаратов;
- переедание и употребление некоторых пищевых продук тов: жирной пищи, шок олада, кофе, фруктовых соков, томата, специй, газированных напитков;
- разговоры во время приёма пищи;
- заглатывание большого количество воздуха вместе с пищей;
- физическая нагрузка или горизонтальное положение тела сразу после еды;
- грыжа пищеводного отверстия диафрагмы (ГПОД);
- различные операции в области желудка или пищевода, например ваготомия, гастрэктомия и резекция желудка;
- пилороспазм (сокращение сфинктера желудка в месте его перехода в двенадцатиперстную кишку);
- склеродермия ;
- язвенная болезнь желудка и двенадцатиперстной кишки ;
- стресс.
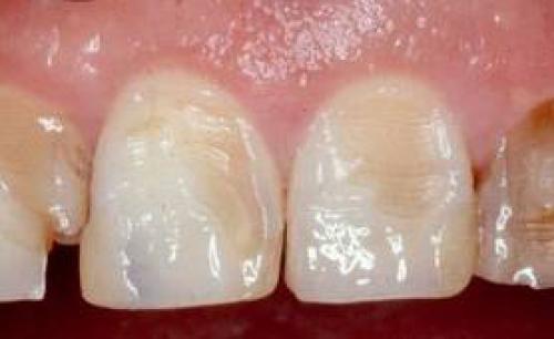
Как выглядит язык при гэрб. Стоматологические проявления гастроэзофагеальной рефлюксной болезни
При патологии пищеварительной системы изменения в полости рта встречаются очень часто. Главная роль в возникновении стоматологических заболеваний при гастроэзофагеальной рефлюксной болезни принадлежит соляной кислоте. При рефлюксе она попадает в ротовую полость, что приводит к снижению рН слюны.Слюна, в норме обогащена кальцием, фосфатами, содержит карбонаты, натрий, калий, магний и обладающая щелочными свойствами. Понижение рН слюны, особенно до величин меньших 6,2, приводит к деминерализации эмали зубов с появлением эрозий твердых тканей зубов и образованием в них полостей (кариеса).Слюна является регулятором общего количества микроорганизмов. Изменения ее физико-химических свойств в результате гастроэзофагеального рефлюкса могут способствовать дисбиозу в полости рта.К числу наиболее характерных поражений относятся:- поражение мягких тканей (афтозный стоматит, изменения сосочков языка, жжение языка);
- некариозные поражения твёрдых тканей зубов (эрозии эмали);
- кариес;
Эрозии зубов | |
![]() | Эрозии зубов - патологические изменения, проявляющиеся разрушением эмали и обнажением дентина. Такие патологические изменения могут наблюдаться у лиц, работающих с парами кислот (например, установка автомобильных аккумуляторов), а также при булимии (чрезмерном потреблении пищи), при частом употреблении цитрусовых плодов и кислых напитков. Частая изжога , рвота , отрыжка кислым , гастроэзофагеальные рефлюксы способствуют длительному эрозивному воздействию рефлюктата на поверхность зубов. |
| Симптомы эрозии зубной эмали проявляются вначале в поражении поверхностного слоя, который сопровождается потерей блеска эмали. Дальнейшее развитие эрозии проявляется повышенной чувствительности к горячей и холодной пище, появлением болезненных ощущений. Более поздние стадии развития отмечаются пигментацией и повреждением зуба. |
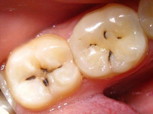
Кариес | |
| Кариес (в переводе с латыни "гниение") – разрушение зуба, которое начинается с растворения минеральных веществ, входящих в состав зуба, с последующим разрушением твердых тканей зуба и образованием кариозной полости. Деминерализация, как и при эрозии, обусловливается частыми кисыми гастроэзофагеальными рефлюксами. Характеризуется появлением на эмали пигментного пятна желтовато-коричневого цвета, неприятного запаха изо рта, реакцией зуба на кислую, сладкую, холодную или горячую пищу, ноющей болью. При развитии глубокого кариеса возможно присоединение пульпита, а затем и периодонтита. Запущенный кариес может привести к потере зуба. Кариозные зубы могут быть источником инфекции для всего организма. | ![]() |
В зависимости от глубины поражения твердых тканей зуба выделяют 4 формы кариеса.
|
Я вылечила рефлюкс-эзофагит форум. Что такое рефлюкс-эзофагит
Воспалительный процесс слизистой пищевода, спровоцированный забросом (рефлюксом) содержимого желудка, называют гастроэзофагеальнымрефлюксным заболеванием или рефлюкс-эзофагитом. В ряде случаев диагностируют рефлюкс-эзофагит с дуодено-гастральным рефлюксом (забросом содержимого 12-перстной кишки).
При нормальной физиологической работе желудка для переваривания пищи железы слизистой вырабатывают непротеолитические ферменты и соляную кислоту. В результате заброса содержимого желудка в пищевод кислотный желудочный сок поражает слизистые нижних отделов пищеварительного канала. На ранних стадиях рефлюкс-эзофагита больной может ощущать изжогу , колики, боль и вздутие в области желудочно-кишечного тракта, как при типичном расстройстве пищеварения.
Основные причины развития хронического рефлюкс-эзофагита:
- язвенная болезнь ;
- хиатальная грыжа;
- сдавливающая тесная одежда;
- недостаточная длина пищевода;
- осложнения хронического гастрита ;
- стеноз пилородуоденального прохода;
- физиологические изменения в период беременности;
- недоразвитый нервно-мышечный аппарат (часто встречается у младенцев);
- снижение реактивности ЖКТ (вследствие ожирения , стрессов, неправильного питания).
Проследить развитие рефлюкс-эзофагита на ранних стадиях достаточно сложно, т.к. нетипичная слабая симптоматика заболевания редко приводит пациентов в кабинет гастроэнтеролога . При значительной степени поражения пищевода рефлюксы дают о себе знать интенсивными режущими болями, жжением за грудиной, кровотечениями и язвами .
Симптомы рефлюкс-эзофагита:
- рвота;
- изжога ;
- тошнота;
- отрыжка;
- кислая отрыжка;
- желудочные боли;
- дискомфорт после еды;
- затрудненное глотание (ком в пищеводе).
Симптомы заболевания усиливаются после употребления газированных и горячих напитков, кофе, острой и тяжелой пищи, переедания. В хронической стадии заболевания проявляются дисфункции дыхательной системы, ларингоспазмы, расстройство дыхания, бронхиальная астма .
Диагностируют четыре степени рефлюкс-эзофагита:
- 1-я степень рефлюкс-эзофагита – область поражения слизистой оболочки ограничена складками пищевода и составляет менее 5 мм в диаметре.
- 2-я степень рефлюкс-эзофагита – один или несколько очагов, ограниченных складками слизистой. Область локализации превышает 5 мм в диаметре.
- 3-я степень – один или несколько очагов, находящихся в 2-х и более складках слизистой. Степень поражения пищевода – в пределах 75%.
- 4-я степень – один или несколько дефектов с локализацией на более чем 75% поверхности слизистой пищевода.
Классификация эзофагитов
По характеру заболевания и его выраженности эзофагит бывает:
- Отечный и катаральный. Это самые распространенные типы эзофагита, которые относят к легкой вялотекущей форме заболевания. Симптоматика проявляется отеком и гиперемией слизистой пищевода.
- Эрозивный. Эрозивный эзофагит возникает вследствие тепловых или химических ожогов слизистой, а также может быть спровоцирован острым инфекционным процессом. Заболевание опасно возникновением эрозий на поверхности слизистой и в большинстве случаев переходит в необратимую некротическую форму.
- Флегмонозный. Достаточно редкий тип, который возникает вследствие деформации или повреждения стенок пищевода.
- Эксфолиативный. Заболевание провоцирует срастание фиброзного экссудата с подслизистой тканью.
- Геморрагический. Сложно диагностировать на ранней стадии. При отсутствии терапии и диеты заболевание вызывает кровоизлияния в пищеводе.
- Некротический. Тяжелая форма острого воспалительного процесса, которая характерна для пациентов с ВИЧ . Некротическая форма также может проявиться на фоне тифа , сепсиса , кандидамикоза, скарлатины , уремии .
- Псевдомембранозный (фибринозный). Основной причиной развития фибринозного воспаления являются грибковые поражения, острые инфекционные заболевания и злокачественные опухоли. Псевдомембранозный вид эзофагита провоцирует частые рвоты, болезненную дисфагию, изъязвление слизистой и фибринозные налеты. После курса терапии в пищеводе могут оставаться опасные рубцовые образования.
Рефлюкс-эзофагит на нервной почве. Проявления заболевания
Рефлюкс-эзофагит является одним из вариантов развития гастроэзофагеальной рефлюксной болезни, или сокращенно ГЭРБ, с воспалительным процессом в пищеводе. В основе ГЭРБ лежит нарушение работы нижнего пищеводного сфинктера. Он неплотно смыкается или спонтанно открывается. При нарушении моторики нижнего отдела пищевода и понижении тонуса сфинктера пищевода происходит заброс некоторого количества едкой соляной кислоты (желудочного сока), содержащей частички непереваренной пищи, ферментов, слизи из желудка, в пищевод. Составляющие желудочного сока (пепсин и соляная кислота) агрессивно действуют на слизистую оболочку пищевода, вызывая ее ожог. При длительном и частом забросе нежная слизистая воспаляется. Со временем воспаление становится хроническим, появляются эрозии и язвы. Ослабляется перистальтика грудного отдела пищевода, снижение выделения слюны и муцина нарушают защитные свойства пищевода.
Заброс содержимого желудка в пищевод не всегда является признаком эзофагита. Такое возможно и у здоровых людей. Но у них эпизоды кратковременные, часто возникают после приема пищи и длятся не более 5 минут, затем проходят. Если неприятная симптоматика проявляется нечасто и кратковременно, это не считается патологией, а относится к нормальным явлениям.
У здорового человека проявление неприятной симптоматики нивелируются самим организмом. В желудке обеспечивается контроль кислотности. Пищевод сам избавляется от попавшей в него рефлюксной массы. Верхний и нижний сфинктеры выполняют роль клапанов, закрывая пищевод от глотки и желудка. Целостные слизистые обеспечивают нормальный кровоток. Все эти защитные системы организма не позволяют проявляться неприятной симптоматике рефлюкс-эзофагита у здорового человека.

При наличии нарушений в каком-нибудь элементе этого звена, развивается патологический процесс. Сначала все протекает без ярко выраженной симптоматики. Сам рефлюкс проявляется через несколько лет после первых изменений. В дальнейшем симптоматика только усиливаются, добавляются новые признаки.
Эзофагит-рефлюкс проявляется пищеводными и непищеводными признаками.
К непищеводным проявлениям воспаления слизистой оболочки желудка относят:
- фарингит, сиплость голоса;
- разрушение эмали зубов в результате заброса едкого желудочного содержимого в полость рта;
- приступы удушья, кашель, не связанный с простудными заболеваниями.
К пищеводным признакам эзофагита-рефлюкса относят:
- жжение в верхней части живота и за грудиной, которое может носить различную интенсивность (изжога). Симптом проявляется в 80% случаев рефлюкс-эзофагита;
- болезненность при глотании (одинофагия);
- отрыжка с кислым прикусом, возникающая после употребления газировки, после употребления острой, кислой пищи;
- болезненные ощущения за грудиной, связанные с приемом пищи. Неприятные симптомы исчезают после принятия лекарств, снижающих кислотность желудочного сока (антацидов);
- затрудненное проглатывание пищи (дисфагия).
Рефлюкс-эзофагит часто встречается у взрослого населения, особенно у мужчин среднего возраста, любящих употреблять крепкие спиртные напитки и пить крепкий кофе, особенно на голодный желудок.
Немаловажным негативным фактором, способствующим развитию рефлюкса, является курение.
Женщины и дети также страдают от этого недуга, особенно если они любят нарушать диету, их рацион составляет жареная, жирная, копченая, перченая пища, фаст-фуд и различного рода газировки, особенно с едким (кислотным) цветом.


